転倒による外傷によってずれた歯を修復した症例
転倒による外傷によってずれた歯を修復した症例
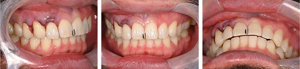
こちらの患者さまは、夜間に転倒して歯がずれたとのことで初診来院されました。青丸で囲まれている2本がずれていることが確認できます。
初診時のレントゲン画像・CT画像
初診時のレントゲン写真とCT画像です。犬歯に至っては、大きく外に飛び出ていることが確認できます。
歯の復位
受傷前の写真を参考に、歯を正しい位置に戻しました。
歯の固定
歯を正しい位置に戻した後、ワイヤーにて固定を行いました。
根管治療の実施
歯の固定から2週後に根管治療を開始し、MTAセメントにて精密な根管充填を行いました。根管充填後はコンポジットレジンにて歯冠修復を行いました。
術後2年後の経過観察
術後経過2年の口腔内写真です。歯の変色もなく、機能面、審美面ともに経過良好でした。
こちらはレントゲンとCT画像になります。受傷後は骨から大きく飛び出ていた歯牙は正しい位置にあります。また、正常な歯根膜の確認もでき、経過良好です。
このように外傷を受けた歯であっても、適切な処置を行えばしっかりと長く使える場合が多いです。怪我をされた場合や、お悩みの場合はご連絡いただけたらと思います。
もし歯が抜けてしまった場合は速やかにご連絡いただき、抜けてしまった歯は専用の保存液、もしくは牛乳の中に入れて当院までお持ちいただけたら幸いです。
日本口腔外科学会認定医、口腔外科専攻の医学博士も在籍しておりますので外科的な処置内容も得意としております。
| 性別・年齢 | 40代男性 |
|---|---|
| 治療期間 | 2年(※経過観察含む) |
| 治療回数 | 6回 |
| 治療費 | 110,000円(税込)MTA根管充填 |
| リスク・注意点 | ・年単位の経過で、歯の変色が見られることがあります。 ・長期間に渡り放置されていると、治療が困難になる場合があります。 |










