すり減った前歯をE-maxにより形態修正・審美的回復を行った症例
すり減った前歯をE-maxにより形態修正・審美的回復を行った症例
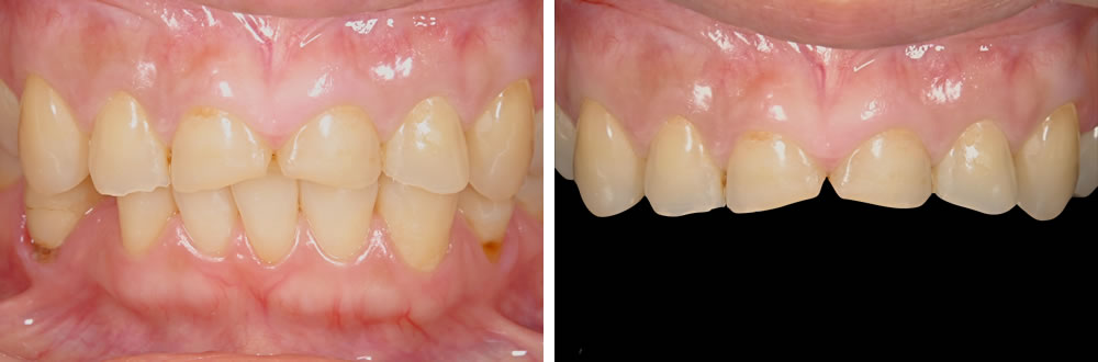
こちらの患者さまは、前歯がすり減ってきて気になるとのことで初診来院されました。写真からわかるように、前歯が短くなっており、形態不良が認められます。
左右対称で理想的な形態からはかけ離れており、ここをイラストのように審美的に修復していきます。
コンポジットレジンで形態の回復
仕上がりの形態を患者さまと共有するため、コンポジットレジンを用いて形態の回復を行いました。
ガイドの使用
最終補綴物の厚みが均一になるようにガイドを用いて歯の形を整えました。
作製したセラミッククラウン(E-max)
今回はクラウン形態のセラミック(E-max)を使用し、作製していただきました。こちらが完成した補綴物です。
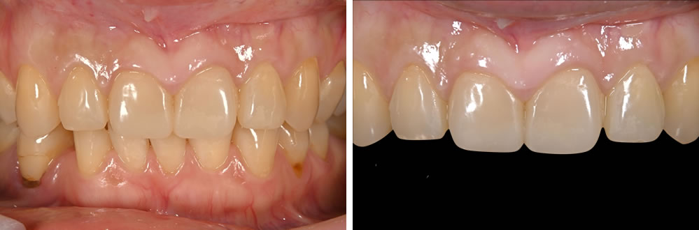
セラミッククラウンの装着・治療完了
口腔内にセットした状態です。形態不良だった歯の形態が回復し、審美的に改善しました。歯の軸や歯肉のラインも整えることができ、患者さまにも大変ご満足いただけました。
前歯で悩んでおられる方は、一度スタッフまでご相談いただけたらと思います。
| 性別・年齢 | 50代女性 |
|---|---|
| 治療期間 | 3ヵ月 |
| 治療回数 | 6回 |
| 治療費 | 660,000円(税込) |
| リスク・注意点 | 前歯で硬いものを噛むと、欠ける可能性があります。 補綴物の関係で部分的に他の歯の調節が必要になる場合があります。 |










