折れた前歯を根管治療と審美治療で修復した症例
折れた前歯を根管治療と審美治療で修復した症例
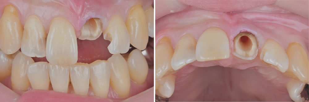
こちらの患者さまは、食事中に前歯が折れたとのことで来院されました。
写真のように土台ごと歯が欠けてしまっています。今回は根の治療と土台のやりかえを行い、新しく被せの治療を行うことにしました。
根管治療の実施
根の治療後、隣の歯の樹脂の治療と土台を新しくしていきます。
支台形成・仮歯の装着
形を整え、仮の歯が入った状態です。ここから最終仕上げ、型取りにうつります。
最終的なかぶせ物の型取り
シリコンを用いて最終的なかぶせ物の型取りを行いました。
シェードテイキング(かぶせ物の色合わせ)
今回は「e LAB prime」という新しいシステムを活用してシェードテイク(色合わせ)を行い、補綴物を作成しました。こちらのシステムでは歯の色を数値化して色調を合わせるため、非常に再現性の高い補綴物の作成が可能になります。
完成したかぶせ物を装着・治療完了
完成したかぶせ物を口腔内に装着し、咬み合わせを調整して治療完了となりました。
色調や形態にご満足いただける補綴物を作成することができました。前歯でお悩みの方、色味、形が気になる方は一度スタッフまでお声がけいただけたらと思います。
| 性別・年齢 | 40代女性 |
|---|---|
| 治療期間 | 約2ヵ月 |
| 治療回数 | 5回 |
| 治療費 | 176,000円(税込)※仮歯含む |
| リスク・注意点 | ・部分的に強い力がかかると、欠ける場合があります。 |








