ブリッジと部分入れ歯による全顎的な治療の症例
ブリッジと部分入れ歯による全顎的な治療の症例
こちらの患者さまは、「歯がボロボロで困っている」「奥歯で噛みたい」との主訴で来院されました。
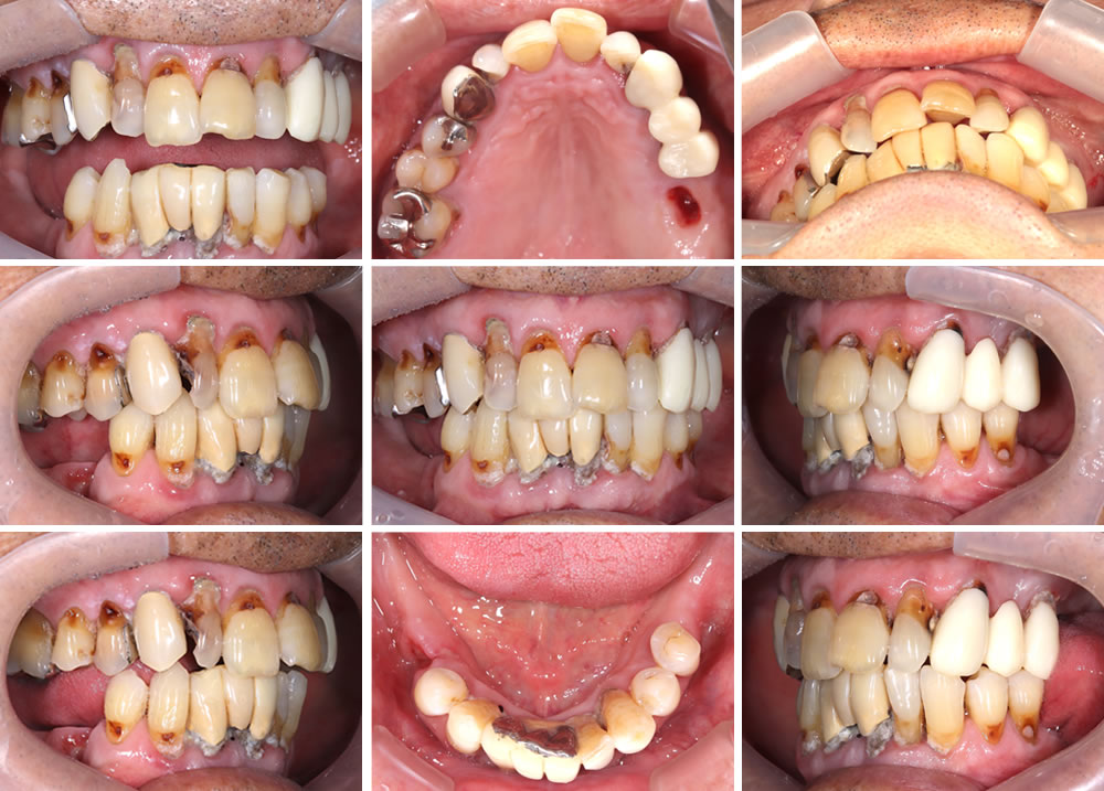
初診時の口腔内
初診時の口腔内写真です。全顎的に歯肉の状態、歯の状態が悪く保存が困難な歯が多数ありました。今回は保存困難な歯については抜歯を行い、ブリッジと部分入れ歯を使用した治療を行うことにしました。
抜歯・仮歯の装着
保存困難な歯の抜歯を行い、仮の歯を口腔内に装着した状態です。
最終的なかぶせ物・ブリッジの装着
抜歯部位の治癒を待ち、最終的なかぶせ物とブリッジを装着しました。
作成した部分入れ歯
こちらが完成した入れ歯です。上顎の異物感が強かったため、強度のある金属床義歯を選択しました。
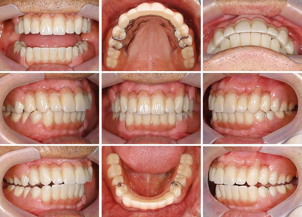
部分入れ歯の装着・治療完了
部分入れ歯を口腔内に装着した状態です。奥歯にも噛み合わせを付与できたことにより、食事もしっかり取れるようになりました。
取り外しが必要にはなりますが、メンテナンスが非常に容易で患者さまには非常にご満足いただくことができました。食事がしづらい、しっかりと噛みたいといったご要望がございましたら、スタッフまたは担当医に一度ご相談いただけたらと思います。
| 性別・年齢 | 70代 男性 |
|---|---|
| 治療期間 | 1年 |
| 治療回数 | 30回 |
| 治療費 | 3,300,000円(税込) |
| リスク・注意点 | ・長期的な観点で義歯の再作成が必要になる可能性があります。 |







