MTAセメントによる断髄処置により歯髄の温存を図った症例
MTAセメントによる断髄処置により歯髄の温存を図った症例
治療前の口腔内写真とレントゲンです。左上第一大臼歯に大きな虫歯が認められます。
今回はBioMTAセメントという材料を使用し、歯の神経を温存する治療を行っていきます。
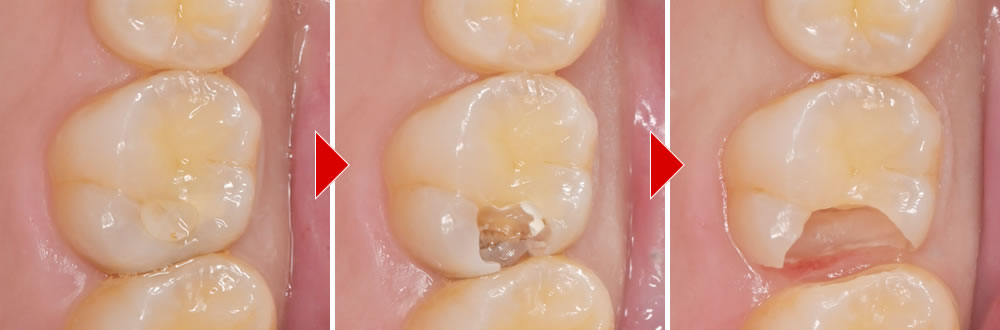
虫歯の除去
う蝕検知液を用いて、虫歯部分を丁寧に除去しました。
左上6補綴処置
処置後の痛みもなく経過良好であったため、補綴治療を行います。今回は残存歯質が多くあったため、歯質の切削量の少ないオーバーレイという治療法を選択しました。
ラバーダム防湿を行い、隔壁(歯の補強)を立てます。
歯髄温存療法(断髄法)の実施
感染を起こしている歯髄部分のみを除去し、消毒と止血を行いました。
MTAセメントを使用し、断髄処置を行いました。
支台築造・型取り
土台の歯の形を整えて型取りを行いました。
補綴物の製作
出来上がった補綴物です。
接着処理~補綴物の装着
ラバーダム防湿を行い、適切な環境下で接着処理を実施しました。
補綴物を口腔内にセットしました。
治療完了
セット後の口腔内写真です。審美的かつ機能的な修復ができました。
今回のケースでは自発痛がなかったため、神経を取らずに、歯をなるべく削らない低侵襲の治療を選択しました。症状によっては、虫歯の大きさに関わらず神経を残せる可能性もあります。
治療についてご不明な点や気になることがございましたら、どうぞお気軽にスタッフまたは担当医までお声がけください。
| 性別・年齢 | 20代女性 |
|---|---|
| 治療期間 | 約1ヵ月 |
| 治療回数 | 3回 |
| 治療費 | 143,000円(税込) |
| リスク・注意点 | ・自発痛がある場合や虫歯の大きさによっては適応外となる可能性があります。 ・治療後に症状が出現した場合は神経の治療が必要となる可能性があります。 |













