クラウンレングスニング法でガミースマイルの改善を行なった症例
クラウンレングスニング法でガミースマイルの改善を行なった症例
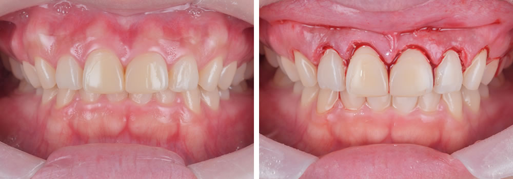
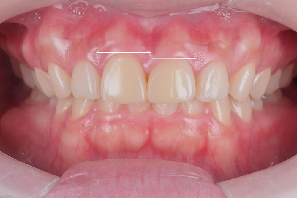
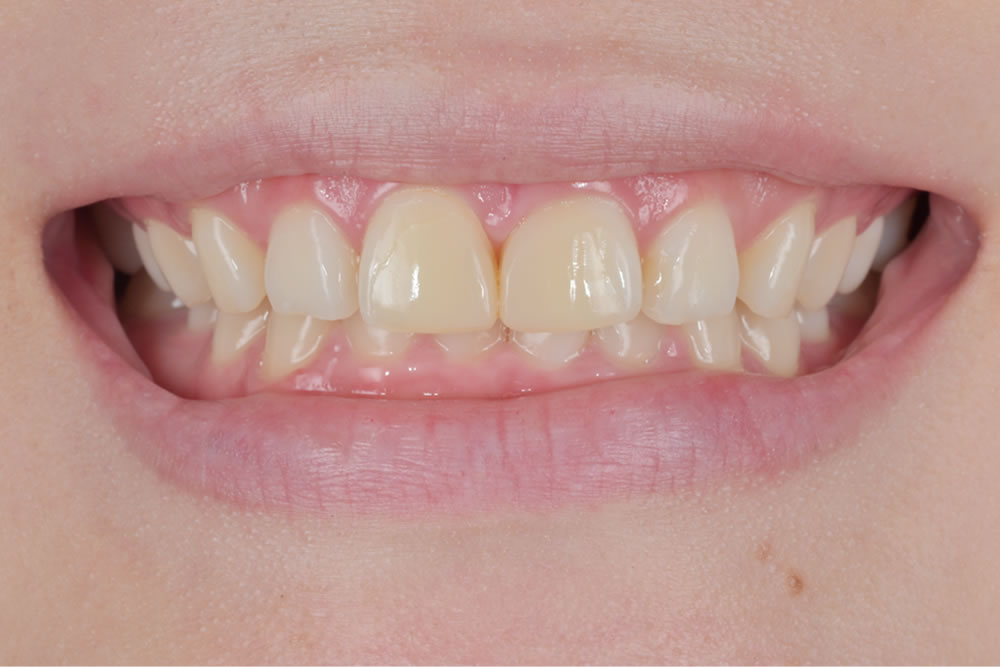
術前のお顔の写真と口元の写真です。笑った時に歯茎の見える量が多いこと(ガミースマイル)と左右の非対称が気になるとのことでした。
クラウンレングスニングの実施
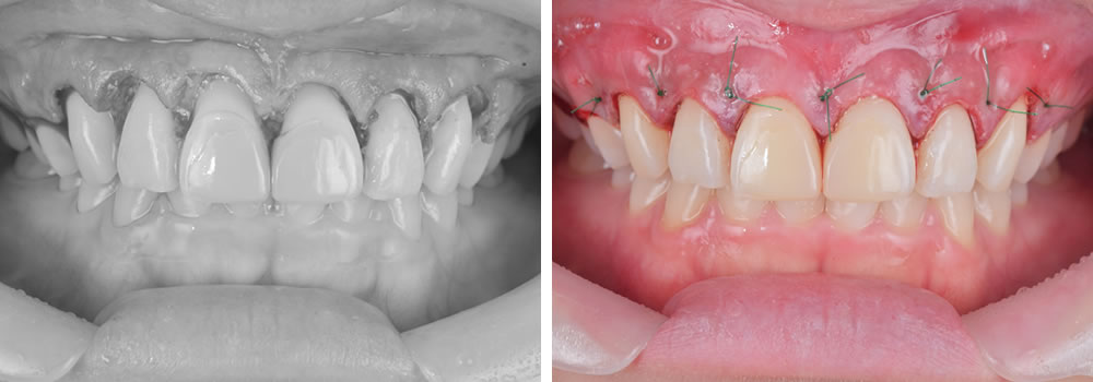
今回は歯の縦横の比率が悪かったため、歯茎の形と骨整形を行うクラウンレングスニングにて治療を行いました。
メスにて最終歯茎のラインを患者さまと決定し、処置を進めていきます。今回は3番目から3番目までの骨形成を行いました。
歯茎を剥離し、最終の歯茎にラインをイメージして中の骨形成を行った状態です。
歯茎を戻して、縫合しました。術後は糸が少し目立ちますが、1週間後に抜糸を行いました。
治療完了
| 性別・年齢 | 20代女性 |
|---|---|
| 治療期間 | 1ヵ月 |
| 治療回数 | 2回(抜糸含む) |
| 治療費 | 198,000円(税込)※1歯33,000円(税込)×6本 |
| リスク・注意点 | 術後に上唇の動きが制限される可能性があります。 再発、後戻りのリスクがあります。 効果が期待できない場合はボトックス治療などを併用する場合があります。 |















