ワイヤー矯正で上顎前突を改善した症例
ワイヤー矯正で上顎前突を改善した症例
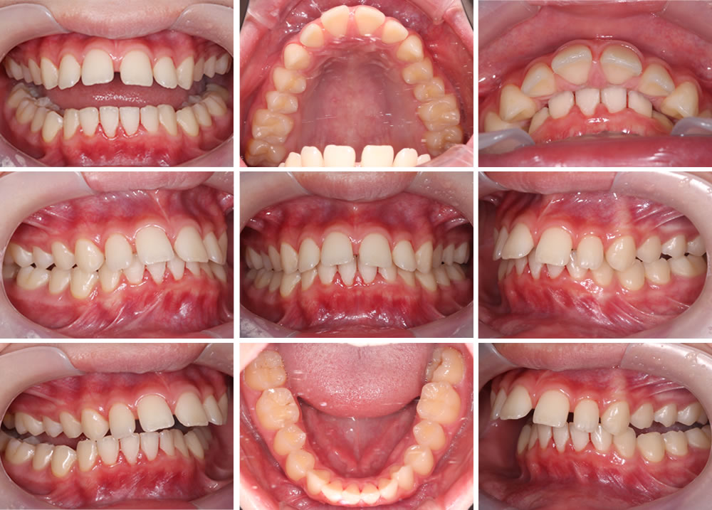
こちらの患者さまは、前歯の前突感が気になるとの主訴で来院されました。
初診時の口腔内写真です。上顎の前歯が前に出ていて、隙間が空いていることがわかります。下の歯並びはおおむね綺麗ですが、奥歯の噛み合わせが逆になっている部分もあり、こちらも矯正していくことにしました。
矯正治療の開始
まずは上顎に装置をつけて歯を並べていきます。
続いて、上の歯は小臼歯を2本抜歯して引っ込める方向に力をかけながら、下顎の並びもさらに整えていきます。
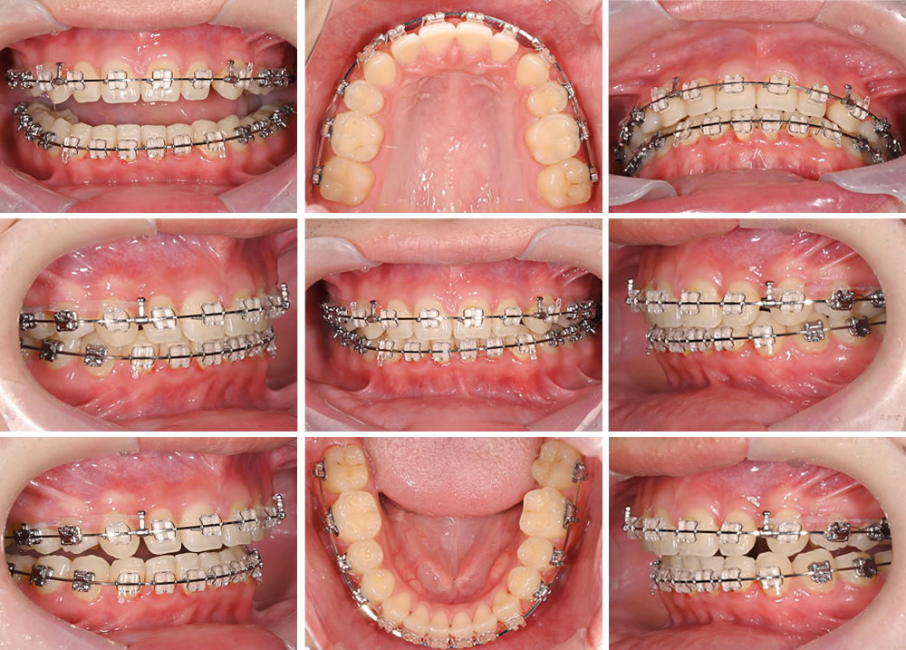
歯がある程度きれいに並んできたら、最終の微調節と噛み合わせを作っていきます。
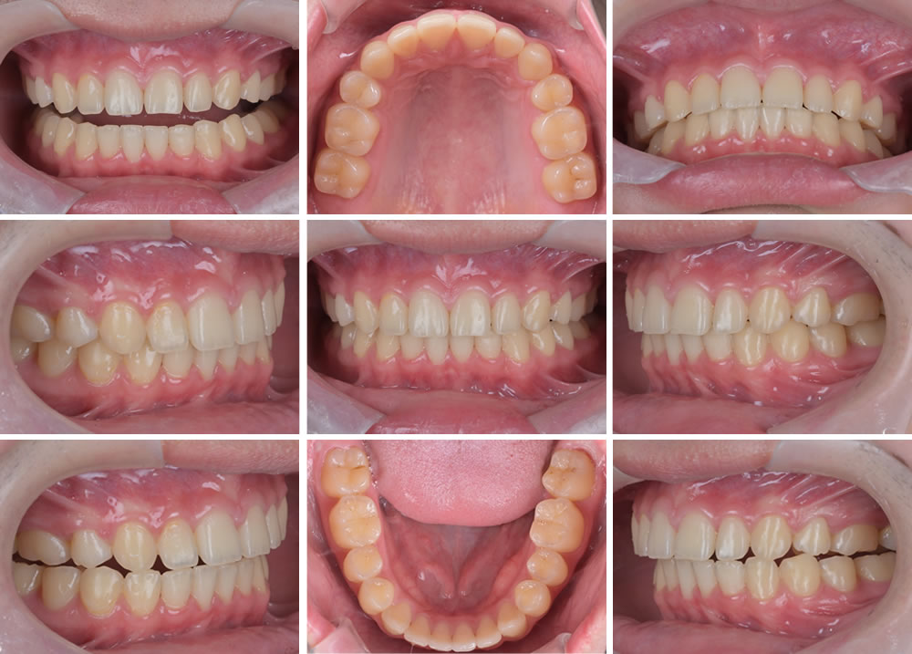
矯正治療終了
こちらが矯正終了時の写真です。上顎前歯の突出感もなくなり全体的に綺麗になりました。
保定処置
最後はリテーナー(保定装置)を装着してもらい終了です。
矯正治療前後のレントゲン画像
こちらは治療前と治療後のレントゲンの比較になります。前歯が引っ込み、スッキリとした印象になりました。
歯並びでお悩みの方は、一度スタッフまでご相談いただけたらと思います。
| 性別・年齢 | 10代 男性 |
|---|---|
| 治療期間 | 約2年半 |
| 治療回数 | 30回(※途中の虫歯治療を含む) |
| 治療費 | 990,000円(税込)※補綴装置含む |
| リスク・注意点 | ・歯列矯正には後戻りのリスクが伴います。 ・通院が途絶えると治療期間が長引きます。 |









