インプラントと補綴による全顎的包括治療の症例
インプラントと補綴による全顎的包括治療の症例
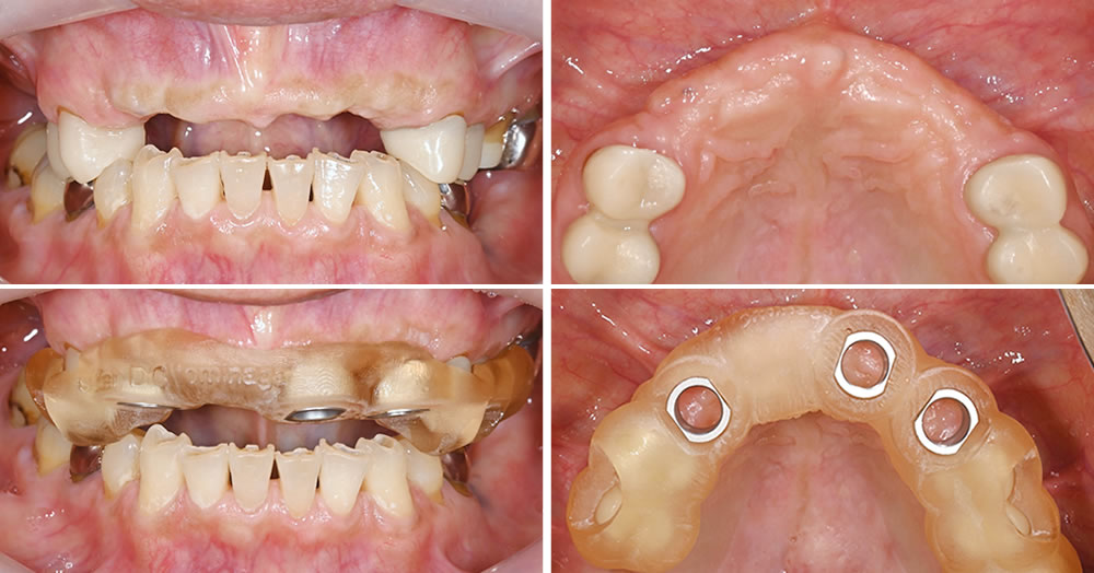
こちらの患者さまは、上顎前歯部分の差し歯が取れたとのことで初診来院されました。右下の写真からもわかるように、補綴物が広範囲にわたって脱離していることが確認できます。
インプラント治療の実施
上顎前歯は保存が困難であったため抜歯を行い、前歯部分の治療に加えて全顎的な包括治療を行う方針となりました。上顎前歯部にはインプラント治療を計画し、サージカルガイドを用いてインプラント埋入手術を実施していきます。
歯肉を剥離し、インプラントを埋入した状態です。設計されたサージカルガイドとズレが生じないよう、精密な処置を行いました。
唇側の骨が不足していたため、インプラントの埋入と同時に人工骨を用いて骨補填を行っています。
ナイロンの糸を用いて縫合、閉創を行いました。
上顎前歯部分と同時に左下奥歯にもインプラントを1本埋入し、縫合、閉創を行いました。
型取り前の処置
約3ヵ月後、型取りを行うための前処置を行いました。
型取り~仮歯の装着
型取りを行って仮歯を制作した後、前歯部分と奥歯に仮歯を装着しました。
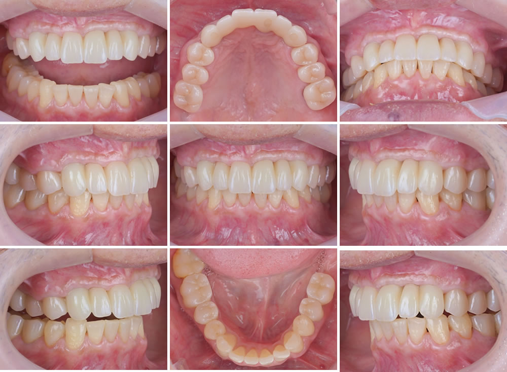
最終的な上部構造(人工歯)の型取り
仮歯を約1ヵ月間使用していただいた後、機能的に問題がないことを確認しました。歯肉の状態も良好であったため、最終的な上部構造(人工歯)の型取りを行いました。
完成した最終的な上部構造(人工歯)
採取した型を基に制作した最終的な上部構造(人工歯)です。
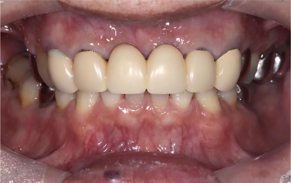
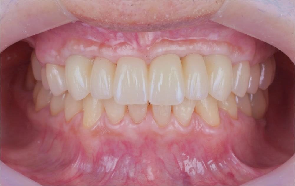
治療完了
最終的な上部構造(人工歯)を口腔内に装着し、咬み合わせを調整して治療完了となりました。
| 性別・年齢 | 70代男性 |
|---|---|
| 治療期間 | 約1年 |
| 治療回数 | 30回(複数回の外科的な処置が含まれます) |
| 治療費 | 4,400,000円(税込) |
| リスク・注意点 | ・骨の状態によっては同じようなお口の状態でも治療期間が長くなる場合があります。 ・補綴物(被せものやインプラント)には保証が含まれます。 (※一定の規定あり) |















