ワイヤー矯正とインビザラインを併用した矯正治療
ワイヤー矯正とインビザラインを併用した矯正治療
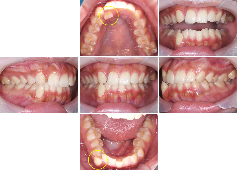
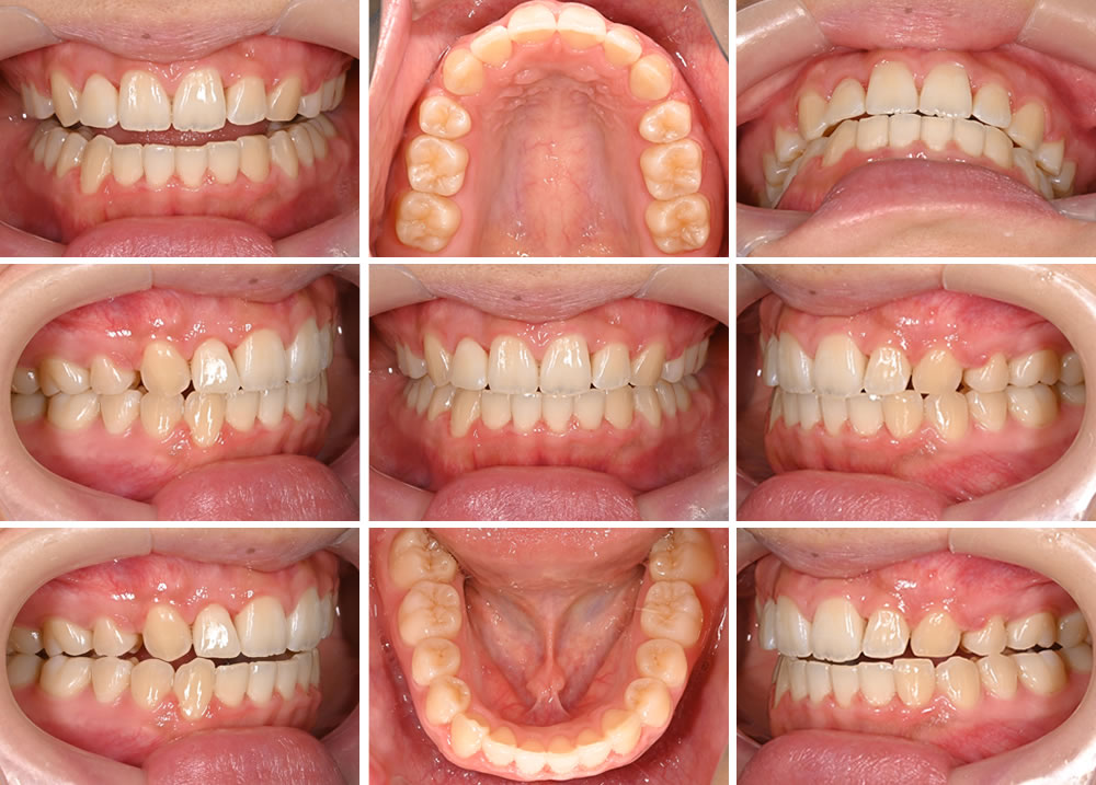
初診時の口腔内写真です。上顎の歯が中に入り、下の歯が外側に出ていることが確認できます。
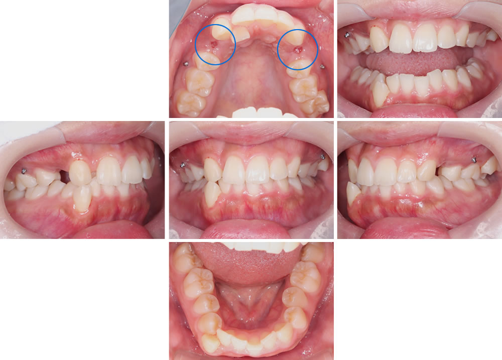
便宜抜歯
※便宜抜歯(べんぎばっし):歯並びや噛み合わせを改善する目的で健康な歯を抜くこと。
そのままではスペースがないため、小臼歯を2本抜歯しました。
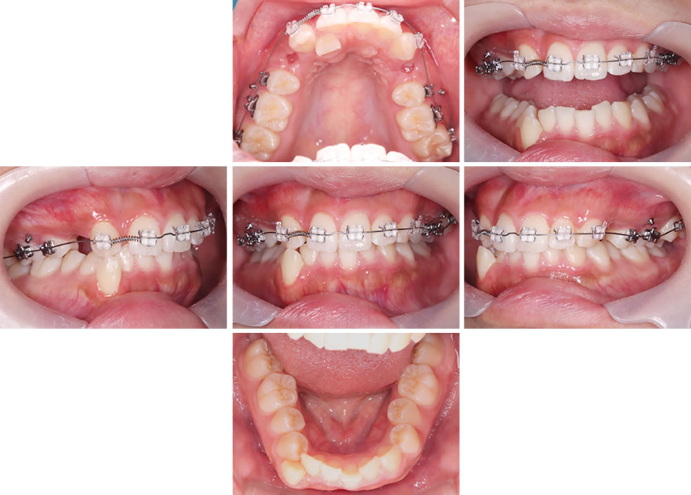
ワイヤー矯正の実施
まずは上顎にワイヤー矯正装置を装着し、矯正治療を開始しました。
下顎にも同様にワイヤーを装着します。こちらの患者さまについては、下顎の抜歯を行わずに歯を並べていきました。
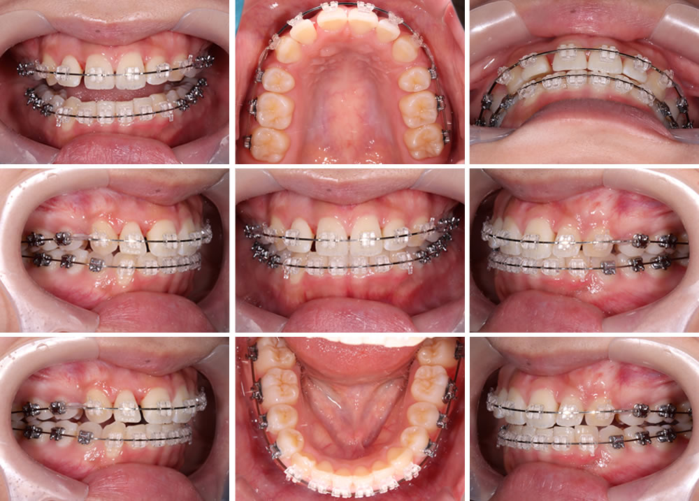
上下とも綺麗になってきたので、ここからはマウスピース矯正装置に移行し、歯並び・咬み合わせを整えていきます。
マウスピース矯正へ移行
ワイヤー矯正装置を外した状態です。
治療完了
マウスピース矯正での歯牙移動が終了した状態です。機能的、審美的にも満足のいく治療となり、患者様にも喜んでいただけました。
| 性別・年齢 | 30代 女性 |
|---|---|
| 治療期間 | 約3年 |
| 治療回数 | 40回(※途中の虫歯治療を含む) |
| 治療費 | 935,000円(税込) |
| リスク・注意点 | ・歯の動き、通院の頻度にによっては治療期間が前後します。 ・途中で虫歯の治療が必要になる場合があります(別途保険診療の費用がかかります) ・マウスピースを紛失した場合は追加で費用がかかる場合があります。 ・リテーナーの装着が適切に行われないと、後戻りのリスクがあります。 |









