ダイレクトボンディングによる前歯の審美治療症例
ダイレクトボンディングによる前歯の審美治療症例
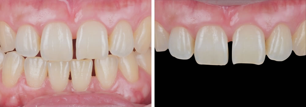
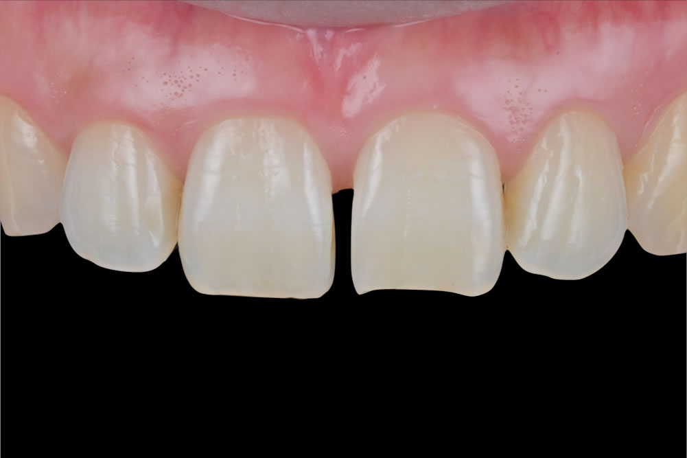
こちらの患者さまは、結婚式を控え、以前から気になっていた前歯の隙間を改善したいとのことで来院されました。
処置前の口腔内写真です。コンポジットレジンを用いた修復(ダイレクトボンディング)を行なっていきます。
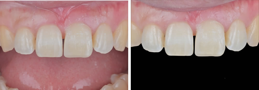
ダイレクトボンディングの実施
歯面のクリーニングを行い、今回は左側から充填を行いました。
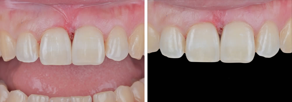
次に右側も同様に充填し、両側が詰め終わった状態の写真です。
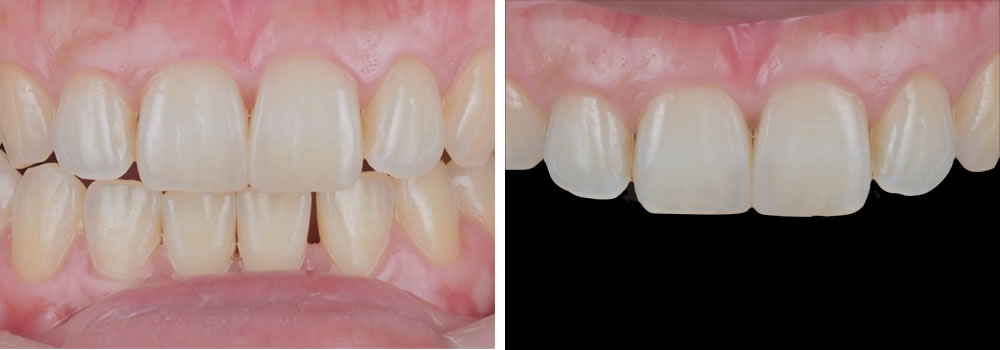
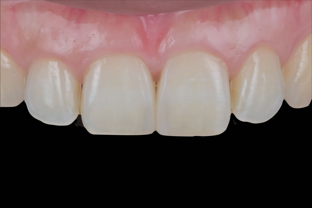
治療完了
2週間ほど使用していただき、最終研磨とお顔とのバランスを考えて微調節を行い、治療完了となりました。
| 性別・年齢 | 30代女性 |
|---|---|
| 治療期間 | 2週間 |
| 治療回数 | 2回 |
| 治療費 | ダイレクトボンディング法 66,000円(税込) |
| リスク・注意点 | コンポジットレジンが経年的に変色する可能性があります。 噛み合わせや歯の大きさによっては適応とならない場合があります。 |








